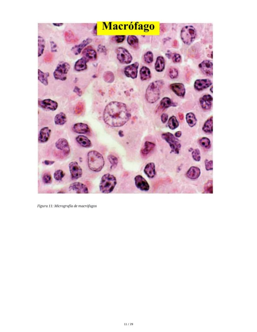
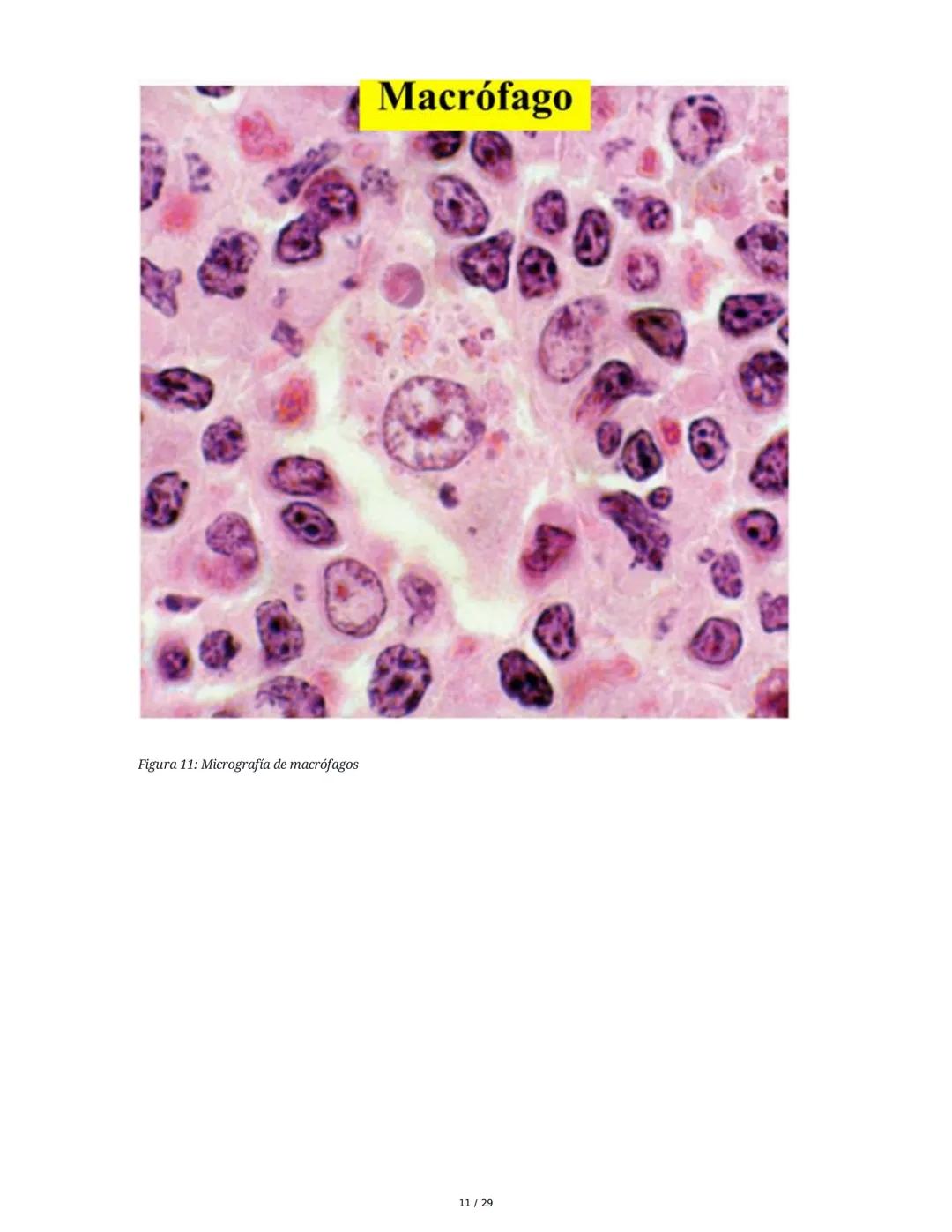
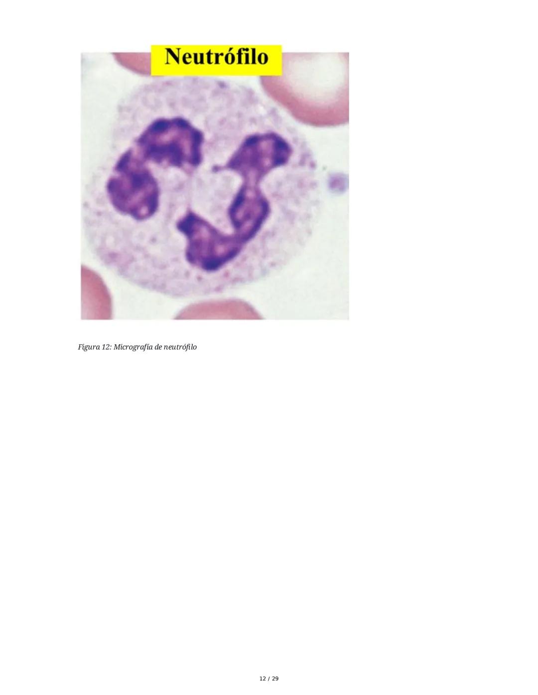
Esta lección introduce los microorganismos y virus, diferenciando sus estructuras y roles como agentes patógenos, junto con las formas comunes de bacterias y virus.
Inscríbete para ver los apuntes¡Es gratis!
Acceso a todos los documentos
Mejora tus notas
Únete a millones de estudiantes
Al registrarte aceptas las Condiciones del servicio y la Política de privacidad.


























































